main_image_0.jpg

삼성탑내과 의료진

김현승 원장

김현승 원장

내과 전문의오늘진료 : 08:30 - 18:00
  • 심장초음파인증의
  • 내과전공의 초음파교육 지도전문의
  • 대한임상초음파 교육인증의
  • 임상초음파인증의(복부/골반/갑상선/두경부/혈관)
  • 위대장내시경전문의 인증의
  • 현)대한검진의학회 총무부회장
  • 현)대한임상초음파학회 학술이사
  • 전)대한위대장내시경학회 상임이사
  • 현)대한임상초음파학회 상임이사
  • 윌스기념병원내과/건강검진센터 소장
  • 메디힐병원 진료부장
  • 가천의대길병원 외래교수
  • 건국대학교의과대학 외래교수
  • 성균관대학교의과대학 외래교수
  • 강북삼성병원내과 레지던트
  • 카톨릭대학교성모병원 인턴
  • 대한검진의학회 평생회원
  • 대한위장내시경학회 평생회원
  • 대한임상초음파학회 평생회원
  • 대한심장초음파학회 정회원
  • 계명의대 졸업
  • 한양의대 석사

김포 삼성탑내과 안내

삼성탑내과에서 시행하는 검사 및 소식을 알려드립니다

비급여 항목 안내

서류 비용 안내일반 진단서 20.000원건강 진단서 20.000원통원확인서(진단명없음) 3.000원진료확인서(진단명없음) 3.000원채용신체검사서 (공무원) 40.000원채용신체검사서 (일 반) 30.000원진료기록사본 (1매당 ) 1.000원진료기록사본(6매이상) 100원진료기록영상(CD복사) 10.000원제증명서 사본 1.000원*의료기관의 제증명수수료 항목 및 금액에 관한 기준(제4조제2항 관련)*상기금액은 진찰료및 각종검사료등 진료비용을 포함하지않은 금액입니다.비급여 진료비 안내위내시경 수면관리료:59000원대장내시경 수면 관리료:89000심장초음파(검진목적비급여):16만원경동맥초음파 (검진목적비급여):9만원경부초음파(검진목적비급여):9만원갑상선 초음파(검진목적비급여):8만원하지혈관초음파(검진목적비급여):13만원복부초음파(검진목적비급여):11만원신장,부신초음파(검진목적비급여):11만원독감백신(4가):3만9천원독감검사[kit]:3만원독감코로나동시검사[kit]:5만원해열주사:4만원페라미플루(독감주사):8만원대상포진(싱그릭스):25만원폐렴예방접종:13만원B형간염:3만원A형간염:8만원파상풍예방접종:4만원백일해 예방접종:5만원인플루엔자 검사 kit:3만원영양수액주사: 3만~9만원코로나 항체검사:5만원잠복결핵검사:6만원비타민D검사:58000원

비급여 항목 안내

삼성탑내과 심초음파 검사안내

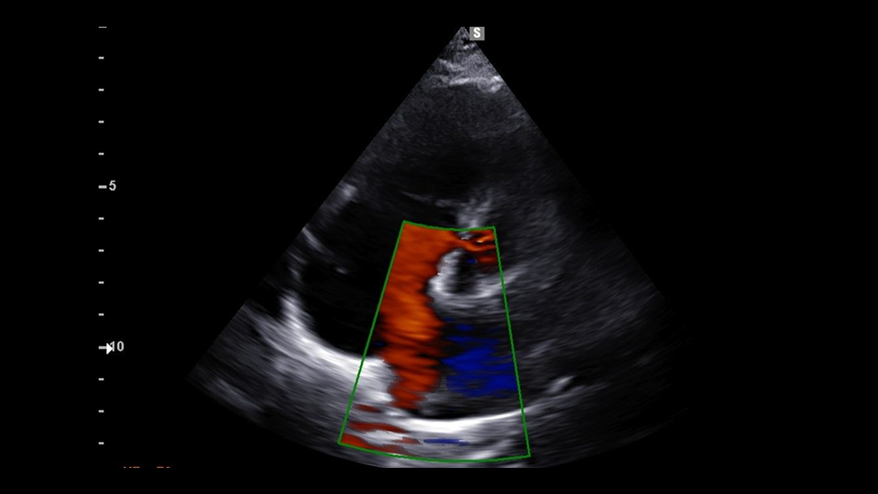
김포내과 삼성탑내과 심장초음파 검사안내심장초음파(Echocardiography)는 심장의 구조와 기능을 평가하기 위해 사용하는 비침습적 검사입니다. ✅ 검사방법: 초음파 푸르브(PROBE)에 젤리를 묻혀 검사를 진행합니다.✅소요시간: 경우에 따라 다를수 있지만 일반적으로 10분~30분 가량 소요 됩니다.✅통증 유무: 비 침슴적인 검사이므로 통증은 전혀 없습니다 **심장초음파의 주요 적응증(적응 대상)**✅ 1. 심잡음(Murmur)심잡음의 원인 감별 (판막 질환 여부 확인)✅ 2. 심부전 증상 평가호흡곤란, 하지 부종, 피로 등 → 심장의 수축 및 이완 기능 평가✅ 3. 심근경색 및 협심증심근의 운동 이상 여부, 좌심실 기능 평가✅ 4. 고혈압 환자의 심장 상태 평가좌심실 비대(hypertrophy), 이완기 기능 장애 여부 등 확인✅ 5. 판막 질환 의심 시승모판막협착증, 대동맥판막역류증 등 → 정확한 진단 및 중증도 평가✅ 6. 선천성 심질환심방 중격 결손(ASD), 심실 중격 결손(VSD) 등 진단✅ 7. 심낭 질환심낭삼출(pericardial effusion), 심장압전(cardiac tamponade) 여부 확인✅ 8. 심장종양 또는 혈전 의심 시심장 내 종물(mass), 혈전(thrombus) 감별✅ 9. 심인성 실신 평가구조적 심질환 여부 확인✅ 10. 심장 감염 질환감염성 심내막염(endocarditis) 의심 시 판막 위 식물(vegetation) 확인✅ 11. 심방세동(AF) 등 부정맥 평가기저 심질환(좌심방 확장, 판막 질환 등) 유무 확인✅ 12. 항응고 치료 전 심장 혈전 확인전기적 심율동전환(cardioversion) 전 좌심방 혈전 유무 평가 (특히 TEE 이용)필요 시에는 경흉부 심초음파(Transthoracic Echo, TTE) 외에도경식도 심초음파(Transesophageal Echo, TEE) 또는 운동부하 심초음파 등을 추가로 시행할 수 있습니다.✅ 삼성탑내과는 심초음파 경력 25년 으로 현재 대한 임상초음파학회 학술이사(심장)를 역임하고 있으며 대한 심초음파학회의 심초음파 인증의 자격을 보유하고 있습니다.

삼성탑내과 심초음파 검사안내

삼성탑내과 진료안내

삼성탑내과 진료안내

삼성탑내과 진료안내

맞춤형 클리닉을 운영중입니다

건강검진 /내분비 /내시경 /만성질환 /영상의학 /호흡기 /예방접종 /알레르기 /영양수액

삼성탑내과 의료장비

삼성탑내과의 의료장비를 소개합니다

건강칼럼

질환과 건강 관리에 대한 올바른 정보, 이해하기 쉽게 설명해드립니다.

자주 묻는 질문

Q. 근처 정류장이 어떻게 되나요?
오시는 길은 하단 이미지를 참조해 주세요.FAQ 이미지

오시는 길

경기 김포시 김포한강4로 176 현대프라자 4층

이번 주 진료시간

4.12 - 4.18
일요일
휴진
월요일
08:30 - 18:00
화요일
08:30 - 18:00
수요일
08:30 - 18:00
목요일
08:30 - 18:00
금요일
08:30 - 18:00
토요일
09:00 - 14:00